Coronary Artery Disease

Coronary artery disease is defined as the buildup of atherosclerotic plaque (atherosclerosis) within the walls of the coronary arteries—vessels that supply the heart muscle (myocardium) with the oxygen-rich blood necessary for its continuous and proper function.

Valvular Heart Disease

The human heart consists of four separate chambers. The connection between these chambers, as well as with the body’s major blood vessels, is regulated by the cardiac valves. Proper heart function requires the coordinated operation of all its structures.
Valvular heart disease refers to the dysfunction of one or more of the heart valves.

Acute Myocardial Infarction

Acute myocardial infarction is a life-threatening emergency in which one of the arteries supplying blood to the heart becomes suddenly and either completely or partially blocked. This leads to interruption of blood flow to the affected area of the heart. The resulting consequence is temporary (reversible) and/or permanent damage (myocardial necrosis) to the portion of the heart muscle supplied by that artery.

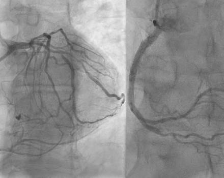
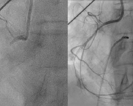
Chronic Total Occlusion of the Coronary Arteries

Chronic total occlusion (CTO) of the coronary arteries refers to the complete blockage of a coronary vessel (100% stenosis), accompanied by the total absence of antegrade blood flow through the artery (TIMI Flow 0), with a duration of more than three months.

Στεφανιαία Νόσος

Ως στεφανιαία νόσο ορίζουμε την εναπόθεση αθηρωματικής πλάκας (αθηροσκλήρυνση) στο εσωτερικό του τοιχώματος των στεφανιαίων αρτηριών, των αγγείων, που τροφοδοτούν το μυ της καρδιάς (μυοκάρδιο) με την απαραίτητη, για τη συνεχή και φυσιολογική λειτουργία του, ποσότητα αίματος και οξυγόνου.

Βαλβιδοπάθειες

Η ανθρώπινη καρδιά αποτελείται από 4 διαφορετικά “διαμερίσματα”. Η σύνδεση μεταξύ των διαμερισμάτων, αλλά και με τα μεγάλα αγγεία του σώματος, ορίζεται από τις καρδιακές βαλβίδες. Η καλή λειτουργία της καρδιάς απαιτεί την αρμονική λειτουργία όλων των δομών της.

Η δυσλειτουργία μιας (ή περισσότερων) των καρδιακών βαλβίδων, συνιστά τις βαλβιδοπάθειες.

Οξύ Έμφραγμα Μυοκαρδίου

Το οξύ έμφραγμα του μυοκαρδίου είναι επείγουσα και απειλητική για τη ζωή κατάσταση κατά την οποία μία εκ των αρτηριών που παρέχουν αίμα στην καρδιά υφίσταται οξεία, πλήρη ή μερική απόφραξη με συνέπεια τη διακοπή της παροχής αίματος στην αντίστοιχη περιοχή της καρδιάς. Το επακόλουθο αποτέλεσμα είναι ο προσωρινός (αναστρέψιμος) ή/και μόνιμος τραυματισμός (μυοκαρδιακή νέκρωση) του τμήματος της καρδιάς που αιματώνεται από τη συγκεκριμένη αρτηρία.

Χρόνια Ολική Απόφραξη Των Στεφανιαίων Αγγείων

Ως χρόνια ολική απόφραξη των στεφανιαίων αγγείων ορίζουμε την ολική απόφραξη του αγγείου (στένωση 100%), η οποία συνοδεύεται από πλήρη εξάλειψη της ορθόδρομης ροής αίματος κατά μήκος του αγγείου (TIMI FLOW 0) που έχει διάρκεια άνω των 3 μηνών.

Book your appointment today!