Τι είναι η αξονική στεφανιογραφία;
Η αξονική στεφανιογραφία (CT Coronary Angiography) είναι μια μη επεμβατική απεικονιστική μέθοδος, η οποία μέσω εξαιρετικά υψηλής ανάλυσης εικόνων που λαμβάνονται με ειδική επεξεργασία κατά τη διενέργεια μιας αξονικής τομογραφίας (CT) δίνεται η δυνατότητα της λεπτομερούς απεικόνισης του δικτύου των στεφανιαίων αρτηριών. Με τη χρήση της τεχνολογίας της αξονικής στεφανιογραφίας, η μέθοδος παρέχει υψηλής ανάλυσης εικόνες του εσωτερικού των αρτηριών της καρδιάς, επιτρέποντας έτσι την αξιολόγηση της παρουσίας, της ποιότητας (μαλακές ή επασβεστωμένες αθηρωματικές πλάκες) και της ποσότητας (φορτίο αθηρωματικής πλάκας) των αθηρωματικών πλακών εντός του τοιχώματος των στεφανιαίων αγγείων. Με τον τρόπο αυτό εκτιμάται με μεγάλη ακρίβεια η παρουσία ή απουσία σημαντικών στενώσεων εντός του αυλού των αρτηριών της καρδιάς.

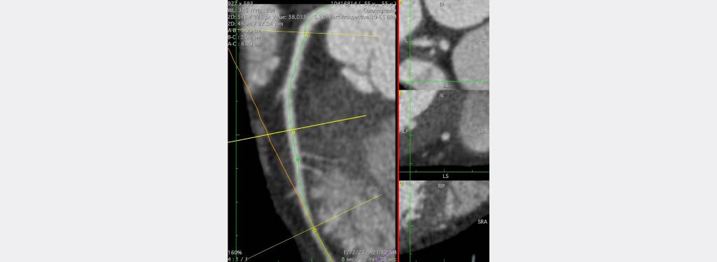
Χαρακτηριστική εικόνα αξονικής στεφανιογραφίας, η οποία απεικονίζει επιμήκη αθηρωματική πλάκα στο πρόσθιο κατιόντα κλάδο (κόκκινο βέλος) με συνοδό μέτρια στένωση έως 70%.
Ποια η διαφορά της αξονικής με την διαγνωστική στεφανιογραφία;
Η κύρια διαφορά μεταξύ της αξονικής στεφανιογραφίας και της παραδοσιακής διαγνωστικής στεφανιογραφίας είναι ότι η αξονική στεφανιογραφία είναι μη επεμβατική διαγνωστική μέθοδος. Σε αντίθεση με τη διαγνωστική στεφανιογραφία, που απαιτεί την εισαγωγή ενός καθετήρα μέσω της αρτηρίας (συνήθως στο χέρι ή στο πόδι), η αξονική στεφανιογραφία γίνεται χωρίς άμεση παρέμβαση στο αγγειακό σύστημα. Αντίθετα, χρησιμοποιεί σκιαγραφικό παράγοντα που χορηγείται ενδοφλεβίως για να επισημάνει τα αγγεία και να επιτρέψει τη λήψη των εικόνων μέσω των οποίων απεικονίζονται λεπτομερώς οι αρτηρίες τις καρδιάς.
Τι προετοιμασία χρειάζεται πριν την εξέταση;
Πριν την αξονική στεφανιογραφία, είναι σημαντικό να ακολουθήσετε ορισμένες οδηγίες για τη σωστή προετοιμασία πριν την εξέταση και επομένως τη βέλτιστη εκτέλεση της εξέτασης. Συνήθως απαιτείται επαρκής ρύθμιση της καρδιακής συχνότητας σε περίπου 55-60 παλμούς ανά λεπτό, για την επίτευξη καλύτερης ανάλυσης και ποιότητας των εικόνων.
Αυτό επιτυγχάνεται με τη συστηματική χορήγηση βήτα-αναστολέων (b-blockers), είτε από του στόματος 2-3 ημέρες καθημερινά πριν την εξέταση είτε ενδοφλεβίως την ημέρα της εξέτασης.
Την ημέρα της εξέτασης συνιστάται η αποφυγή λήψης ροφημάτων ή σκευασμάτων που περιέχουν καφεΐνη και η σωματική άσκηση προς αποφυγή πρόκλησης ταχυκαρδίας
Επιτρέπεται η λήψη νερού ενώ συνίσταται η αποφυγή λήψης τροφής έως και 4 ώρες πριν τη διενέργεια της εξέτασης
Πώς γίνεται η αξονική στεφανιογραφία;
Η αξονική στεφανιογραφία πραγματοποιείται σε εξειδικευμένο αξονικό τομογράφο (συνήθως 128 ή 256 τομών) στον οποίο ακολουθείται ειδικό πρωτόκολλο λήψης εικόνων, το οποίο επιτρέπει την ακριβή απεικόνιση των αγγείων και των δομών της καρδιάς σε συγκεκριμένη χρονική στιγμή κατά τη φάση διαστολής του καρδιακού κύκλου (ECG gated).
Αρχικά, τοποθετείται ένας φλεβοκαθετήρας στα άνω άκρα (αριστερό ή δεξί χέρι), μέσω του οποίου χορηγείται σκιαγραφικός παράγοντας. Μέσω του χορηγούμενου σκιαγραφικού παράγοντα απεικονίζεται ο αυλός των στεφανιαίων αγγείων και αναγνωρίζονται πιθανές στενώσεις στις αρτηρίες της καρδιάς.
Κατά τη διάρκεια της εξέτασης, ο ασθενής εισέρχεται εντός του δακτυλίου του αξονικού τομογράφου, όπου λαμβάνονται οι απαραίτητες εικόνες των στεφανιαίων αγγείων. Κατά τη διάρκεια της εξέτασης ο ασθενής λαμβάνει επιπλέον οδηγίες από το τεχνικό προσωπικό αναφορικά με την αναπνοή του (πότε να εισπνεύσει, να εκπνεύσει ή να κρατήσει την αναπνοή του). Η διαδικασία αυτή είναι απαραίτητη λόγω του ότι η καρδιά είναι κινούμενο όργανο (συστέλλεται και διαστέλλεται) και οι αναπνευστικές κινήσεις κατά τη διάρκεια λήψης των εικόνων ενδέχεται να δημιουργήσουν τεχνουργήματα (artifacts) τα οποία μπορούν να επηρεάσουν την ποιότητα των λαμβανόμενων εικόνων.
Πόσο διαρκεί η αξονική στεφανιογραφία;
Η διάρκεια της αξονικής στεφανιογραφίας είναι συνήθως πολύ σύντομη, καθώς η λήψη των εικόνων ολοκληρώνεται σε περίπου 10-15 λεπτά. Η συνολική διάρκεια παραμονής στο ιατρικό κέντρο μπορεί να διαρκέσει λίγο περισσότερο λόγω της προετοιμασίας και της παρακολούθησης μετά την εξέταση.
Έχει παρενέργειες ή επιπλοκές η εξέταση;
Η αξονική στεφανιογραφία είναι γενικά ασφαλής, με εξαιρετικά σπάνιες και ελάχιστες παρενέργειες. Ορισμένοι ασθενείς μπορεί να αισθανθούν προσωρινό αίσθημα καύσου ή ζέστη στο στήθος λόγω της έγχυσης του σκιαγραφικού παράγοντα, το οποίο συνήθως υποχωρεί εντός μερικών δευτερολέπτων.
Πολύ σπάνια, μπορεί να υπάρξουν αλλεργικές αντιδράσεις στο σκιαγραφικό, αλλά οι σοβαρές επιπλοκές είναι εξαιρετικά σπάνιες. Σε περίπτωση ιστορικού αλλεργικής αντίδρασης στο σκιαγραφικό ο ασθενής λαμβάνει ειδική προετοιμασία με τη λήψη στεροειδών και αντισταμινικών πριν τη διενέργεια της εξετάσεις προκειμένου να αποφευχθεί οποιαδήποτε αλλεργική αντίδραση μετά την ενδοφλέβια χορήγηση του σκιαγραφικού παράγοντα.
Που γίνεται η αξονική στεφανιογραφία;
Η αξονική στεφανιογραφία πραγματοποιείται σε εξειδικευμένα κέντρα ιατρικής απεικόνισης ή σε νοσοκομεία με εξοπλισμό αξονικής τομογραφίας και εξειδικευμένο προσωπικό.
Η διαδικασία εκτελείται σε μονάδες διαγνωστικής απεικόνισης που διαθέτουν την απαραίτητη τεχνολογία και εμπειρία για την εκτέλεση της εξέτασης.
Πόσο κοστίζει η αξονική στεφανιογραφία;
Το κόστος της αξονικής στεφανιογραφίας δεν είναι σταθερό και ποικίλλει ανάλογα με το νοσοκομείο ή το διαγνωστικό κέντρο που θα πραγματοποιηθεί η εξέταση.


