Τι είναι η στεφανιαία νόσος;
Η στεφανιαία νόσος είναι μια πάθηση που ορίζεται από την εναπόθεση αθηρωματικής πλάκας, ενός υλικού που συνήθως αποτελείται από λίπος (χοληστερίνη), ινώδη ιστό και άλατα ασβεστίου (διεργασία αθηροσκλήρυνσης) στο εσωτερικό των τοιχωμάτων των στεφανιαίων αρτηριών, των αγγείων που τροφοδοτούν το μυ της καρδιάς (μυοκάρδιο) με την απαραίτητη ποσότητα αίματος και οξυγόνου για την διασφάλιση της συνεχούς και φυσιολογικής λειτουργίας του.
Αθηροσκλήρυνση
Η αθηροσκλήρυνση είναι το αποτέλεσμα μιας χρόνιας διεργασίας που μπορεί να οδηγήσει στη στένωση του αυλού των στεφανιαίων αρτηριών, με αποτέλεσμα την ανεπαρκή αιμάτωση της καρδιάς και τη δημιουργία μυοκαρδιακής ισχαιμίας. Σε ορισμένους ασθενείς, η αθηρωματική πλάκα όταν αποκτήσει ικανό μέγεθος μπορεί να υποστεί ρήξη εντός του αυλού της στεφανιαίας αρτηρίας, προκαλώντας τη δημιουργία θρόμβου, ο οποίος μπορεί να προκαλέσει οξεία και πλήρη απόφραξη του αυλού του στεφανιαίου αγγείου και, συνεπώς, οξύ έμφραγμα του μυοκαρδίου.
Συστατικά της αθηρωματικής πλάκας
Η αθηρωματική πλάκα αποτελείται κυρίως από λίπος, ινώδη στοιχεία και άλατα ασβεστίου με την αναλογία των παραπάνω συστατικών στοιχείων να ποικίλει από ασθενή σε ασθενή. Η εξέλιξη της αθηρωματικής πλάκας επηρεάζεται από διάφορους υποκείμενους παράγοντες αυξημένου καρδιαγγειακού κινδύνου. Αυτοί περιλαμβάνουν:
- Κάπνισμα: Το κάπνισμα βλάπτει τα αγγεία και αυξάνει σημαντικά τον κίνδυνο δημιουργίας αθηροσκληρυντικής νόσου και πρόκλησης οξέος εμφράγματος του μυοκαρδίου.
- Αρτηριακή υπέρταση: Η υψηλή αρτηριακή πίεση καταπονεί τα τοιχώματα των αρτηριών και αυξάνει σημαντικά τον κίνδυνο δημιουργίας αθηροσκληρυντικής νόσου και πρόκλησης οξέος εμφράγματος του μυοκαρδίου.
- Σακχαρώδης διαβήτης: Ο διαβήτης επηρεάζει τη ρύθμιση του σακχάρου στο αίμα και μπορεί να προκαλέσει ραγδαία επιδείνωση της αθηροσκληρυντικής νόσου. Μάλιστα αποτελεί έναν από του ς πιο ισχυρούς παράγοντες κινδύνου για την πρόκληση επαναστένωσης των ενδοστεφανιαίων προθέσεων (stents), μετά από αγγειοπλαστική.
- Αυξημένη χοληστερίνη: Οι υψηλές τιμές χοληστερίνης προάγουν την ανάπτυξη αθηρωματικών πλακών.
- Καθιστική ζωή: Η έλλειψη άσκησης συνδέεται με αυξημένο κίνδυνο καρδιαγγειακών νοσημάτων και καρδιαγγειακών συμβαμάτων. Η συστηματική σωματική σχετίζεται με την συστηματική έκκριση φυσικών-ενδογενών μεταβολιτών με αντιοξειδωτικές και αγγειοδιασταλτικές ιδιότητες που προάγουν την υγεία του ενδοθηλίου, του έσω χιτώνα του τοιχώματος των αγγείων. Η συστηματική άσκηση έχει συσχετιστεί με σταθεροποίηση και μείωση των αθηρωματικών πλακών και με μειωμένο κίνδυνο πρόκλησης οξέος εμφράγματος του μυοκαρδίου.
- Άγχος: Το άγχος μπορεί να αυξήσει την αρτηριακή πίεση και τα επίπεδα χοληστερίνης.
- Ηλικία: Ο κίνδυνος αθηροσκλήρυνσης αυξάνεται με την ηλικία.
- Φύλο: Οι άνδρες έχουν υψηλότερο κίνδυνο εμφάνισης στεφανιαίας νόσου σε σύγκριση με τις γυναίκες, ιδιαίτερα πριν την εμμηνόπαυση.
- Κληρονομικότητα: Το οικογενειακό ιστορικό καρδιαγγειακών νοσημάτων ιδίως στις ηλικίες κάτω των 55 ετών για τους άνδρες και των 65 ετών για τις γυναίκες αυξάνει σημαντικά τον κίνδυνο εμφάνισής τους.
Συμπερασματικά, η στεφανιαία νόσος εξαιρετικά συχνή, ενώ αποτελεί και τη συχνότερη αιτία θανάτου στο δυτικό κόσμο. Στην Ευρώπη, υπολογίζεται πως περίπου 1.8 εκατομμύρια θάνατοι ετησίως αποδίδονται στη στεφανιαία νόσο, που αντιστοιχεί στο 19% του συνολικού αριθμού θανάτων για τους άνδρες και το 20% για τις γυναίκες.

Στεφανιαία Νόσος: Συμπτώματα
Η στεφανιαία νόσος αναπτύσσεται προοδευτικά με το πέρας του χρόνου και τα συμπτώματα ενδέχεται να διαφέρουν από άτομο σε άτομο. Ορισμένοι ασθενείς, περίπου το 60%, ενδέχεται να μην παρουσιάσουν κανένα απολύτως πρόδρομο σύμπτωμα κατά την εξέλιξη της νόσου και η πρώτη εκδήλωση της στεφανιαίας νόσου μπορεί να είναι εντελώς αιφνίδια με την εμφάνιση οξέος εμφράγματος.
Στηθάγχη και συμπτώματα
Με τον όρο στηθάγχη χαρακτηρίζουμε ένα εύρος συμπτωμάτων που μπορούν να συνοδεύουν τη στεφανιαία νόσο. Αυτά συνήθως αναπτύσσονται αφού η προκληθείσα από την αθηρωματική πλάκα στένωση εντός του αυλού του αγγείου γίνει σημαντική (>70%). Τα πιο συχνά συμπτώματα της στεφανιαίας νόσου περιλαμβάνουν:
- Πόνος και δυσφορία στο στήθος: Συνήθως περιγράφονται σαν «πλάκωμα», «αίσθημα βάρους» και «σφίξιμο» στο στήθος. Αυτά τα συμπτώματα μπορεί να αντανακλούν σε διάφορα σημεία του σώματος όπως στη γνάθο, στον λαιμό, στους ώμους, στην πλάτη και στα χέρια, συνήθως στον αριστερό βραχίονα. Η δυσφορία μπορεί να εμφανίζεται είτε στην προσπάθεια είτε στην ηρεμία και έχει συνήθως διαλείποντα χαρακτήρα, δηλαδή διαρκεί μερικά λεπτά κατόπιν υποχωρεί και εν συνεχεία εμφανίζεται ξανά.
- Δύσπνοια και λαχάνιασμα: Μπορεί να εμφανίζεται είτε κατά τη διάρκεια σωματικής δραστηριότητας είτε σε κατάσταση ηρεμίας.
- Αίσθημα σκοτοδίνης και τάση για λιποθυμία: Αυτά τα συμπτώματα μπορεί να συνδυάζονται με αίσθημα ζάλης και αδυναμίας και να εμφανίζονται είτε κατά τη διάρκεια της άσκησης είτε και στην ηρεμία.
- Εφίδρωση και αίσθημα ναυτίας: Συμπτώματα τα οποία χαρακτηρίζονται από ψυχρό ιδρώτα, και αίσθημα αναγούλας με εμέτους.
- Επιγαστραλγία και αίσθημα καύσου στο στομάχι (καούρες): Μπορεί να εκληφθούν λανθασμένα ως συμπτώματα δυσπεψίας.
Επιπλέον συμπτώματα
Εκτός από τα παραπάνω κύρια συμπτώματα, η στεφανιαία νόσος μπορεί να συνοδεύεται από επιπλέον κλινικά σημεία και συμπτώματα που ενδέχεται να διαλάθουν της προσοχής μας ή να αποδοθούν σε άλλες αιτίες, όπως:
- Κόπωση και αδυναμία: Μπορεί να εμφανίζονται χωρίς εμφανή λόγο και να παρατείνονται για μεγάλο διάστημα.
- Αίσθημα παλμών: Ο ασθενής μπορεί να αισθανθεί ότι η καρδιά του χτυπά γρήγορα ή ακανόνιστα/άρρυθμα συνέπεια καρδιακών αρρυθμιών μερικές από τις οποίες ενδέχεται να είναι κακοήθεις, όπως η κοιλιακή ταχυκαρδία.
- Διαταραχές ύπνου: Η αδυναμία να κοιμηθεί κάποιος μπορεί να σχετίζεται με υποκείμενα καρδιαγγειακά νοσήματα συμπεριλαμβανόμενης της στεφανιαίας νόσου

Ποια είναι τα αίτια της στεφανιαίας νόσου;
Η στεφανιαία νόσος προκαλείται από την αθηροσκλήρυνση, μια διαδικασία κατά την οποία αθηρωματικές πλάκες, αποτελούμενες κυρίως από λίπος, χοληστερόλη, άλατα ασβεστίου, φλεγμονώδη κύτταρα και άλλες ουσίες, συσσωρεύονται στα τοιχώματα των στεφανιαίων αρτηριών.
Αυτές οι πλάκες μπορούν να προκαλέσουν στένωση ή απόφραξη των αρτηριών, περιορίζοντας τη ροή του αίματος προς τον καρδιακό μυ και οδηγώντας σε καρδιακά προβλήματα.
Παράγοντες κινδύνου που προδιαθέτουν στην ανάπτυξη στεφανιαίας νόσου
Οι παράγοντες κινδύνου που προδιαθέτουν στην ανάπτυξη στεφανιαίας νόσου διακρίνονται σε τροποποιήσιμους και μη τροποποιήσιμους
Τροποποιήσιμοι παράγοντες καρδιαγγειακού κινδύνου
- Αρτηριακή υπέρταση
- Υψηλή χοληστερίνη/Δυσλιπιδαιμία
- Σακχαρώδης διαβήτης
- Κάπνισμα
- Αυξημένο σωματικό βάρος/παχυσαρκία
- Καθιστική ζωή/Έλλειψη σωματικής άσκησης
- Άγχος/stress
Μη τροποποιήσιμοι παράγοντες καρδιαγγειακού κινδύνου
- Κληρονομικότητα
- Ηλικία
- Εθνικότητα
- Φύλο

Πως γίνεται η διάγνωση της στεφανιαίας νόσου;
Η διάγνωση της στεφανιαίας νόσου περιλαμβάνει μια σειρά εξετάσεων που βοηθούν στην αξιολόγηση της λειτουργίας της καρδιάς και στην ανίχνευση της παρουσίας αθηρωματικών πλακών στις στεφανιαίες αρτηρίες:
Ηλεκτροκαρδιογράφημα (ΗΚΓ): Καταγράφει την ηλεκτρική δραστηριότητα της καρδιάς και μπορεί να ανιχνεύσει ανωμαλίες που σχετίζονται με τη ροή αίματος στον καρδιακό μυ. Οι διαταραχές στην ηλεκτρική δραστηριότητα της καρδιάς μπορεί να σχετίζονται με υποκείμενη στεφανιαία νόσο.
Διαθωρακικό υπερηχοκαρδιογράφημα: Χρησιμοποιεί ηχητικά κύματα για να δημιουργήσει εικόνες της καρδιάς και των βαλβίδων της, βοηθώντας στην αξιολόγηση της καρδιακής λειτουργίας και της δομής της καρδιάς.
Η σοβαρή στεφανιαία νόσος, η οποία συνδυάζεται με σοβαρού βαθμού στενώσεις των στεφανιαίων αρτηριών μπορεί να οδηγήσει σε δυσλειτουργία του καρδιακού μυός και καρδιακή ανεπάρκεια στοιχεία τα οποία μπορεί να διαπιστωθούν στο διαθωρακικό υπερηχοκαρδιογράφημα.
Αξονική στεφανιογραφία: Μη επεμβατική μέθοδος, όπου μέσο της ενδοφλέβιας χορήγησης άπαξ δόσης σκιαγραφικού παράγοντα, πραγματοποιείται άμεση απεικόνιση του αυλού και του τοιχώματος των στεφανιαίων αρτηριών.
Η ικανότητα της συγκεκριμένης εξέτασης, εφόσον είναι τεχνικώς άρτια, στην διάγνωση και τον αποκλεισμό της στεφανιαίας νόσου είναι εξαιρετικά υψηλή και το συγκριτικό πλεονέκτημα έναντι άλλων μην επεμβατικών μεθόδων (όπως δοκιμασία κόπωσης, stress echo, δυναμικό σπινθηρογράφημα μυοκαρδίου) είναι η έγκαιρη διάγνωση ακόμα και μικρών στενώσεων των στεφανιαίων αγγείων ή αρχόμενης στεφανιαίας νόσου, κάτι που είναι πρακτικά αδύνατον με τις υπόλοιπες μη επεμβατικές λειτουργικές δοκιμασίες.
Δοκιμασία κόπωσης σε κυλιόμενο τάπητα (τεστ κοπώσεως): Πρόκειται για μη επεμβατική λειτουργική δοκιμασία κατά την οποία ο ασθενής εξετάζεται κατά την άσκηση πάνω σε κυλιόμενο τάπητα. Η ένταση της βάδισης στον τάπητα αυξάνεται προοδευτικά κάθε 2 λεπτά και αξιολογούνται τα συμπτώματα του ασθενούς όπως δυσφορία και πόνος στο στήθος, δύσπνοια και λαχάνιασμα, αίσθημα λιποθυμίας, κόπωση αλλά και τυχόν δυναμικές παθολογικές αλλοιώσεις ή αρρυθμίες στο ηλεκτροκαρδιογράφημα κατά τη διάρκεια της άσκησης ή της φάσης αποκατάστασης μετά τη διακοπή της άσκησης (recovery). Ο ασθενής κατά τη διάρκεια της δοκιμασίας είναι συνδεδεμένος με ηλεκτρόδια και βρίσκεται σε συνεχή ηλεκτροκαρδιογραφική παρακολούθηση.
Δοκιμασία με δυναμική υπερηχοκαρδιογραφική μελέτη (stress echo): Πρόκειται για μη επεμβατική λειτουργική δοκιμασία κατά την οποία ο ασθενής εξετάζεται με την διενέργεια διαθωρακικού υπερηχοκαρδιογραφήματος κατά την ηρεμία και κατόπιν είτε κατά τη διάρκεια φαρμακευτικού stress με τη χορήγηση φαρμακευτικού παράγοντα (δοβουταμίνης) είτε κατά την άσκηση πάνω σε ποδήλατο.
Η ένταση του stress αυξάνεται προοδευτικά είτε με την προοδευτική αύξηση της χορηγούμενης δόσης φαρμάκου είτε με την προοδευτική αύξηση της έντασης της άσκησης μέχρι την επίτευξη της επιθυμητής για την ηλικία καρδιακής συχνότητας. Κατά τη διάρκεια της δοκιμασίας αξιολογούνται τα συμπτώματα του ασθενούς όπως δυσφορία και πόνος στο στήθος, δύσπνοια και λαχάνιασμα, αίσθημα λιποθυμίας, κόπωση, το ηλεκτροκαρδιογράφημα για τυχόν δυναμικές παθολογικές αλλοιώσεις ή αρρυθμίες κατά τη διάρκεια του stress ή της φάσης αποκατάστασης μετά τη διακοπή stress (recovery) και κυρίως διαταραχές στην κινητικότητα των διαφόρων τμημάτων του καρδιακού μυός.
Μάλιστα για να βελτιωθεί η διαγνωστική ακρίβεια της δοκιμασίας και ειδικά σε ασθενείς με πτωχά και κακής ποιότητας ακουστικά παράθυρα χορηγείται ενδοφλεβίως παράγοντας ηχοαντίθεσης (contrast), ο οποίος βελτιώνει σημαντικά την ποιότητα των εικόνων και άρα τη διαγνωστική ακρίβεια της εξέτασης. Ο ασθενής κατά τη διάρκεια της δοκιμασίας είναι συνδεδεμένος με ηλεκτρόδια και βρίσκεται σε συνεχή ηλεκτροκαρδιογραφική παρακολούθηση.
Δοκιμασία με δυναμικό σπινθηρογράφημα (SPECT): Πρόκειται για μη επεμβατική λειτουργική δοκιμασία κατά την οποία ο ασθενής εξετάζεται πριν και μετά την χορήγηση παράγοντα πρόκλησης υπεραιμίας όπως το regadenoson ή η διπυριδαμόλη ή πριν και κατά τη διάρκεια άσκησης σε ποδήλατο ή κυλιόμενο τάπητα.
Και στις δύο περιπτώσεις αξιολογείται η πρόσληψη ειδικού ραδιοφαρμάκου, όπως ραδιενεργό ισότοπο θαλίου ή τεχνητίου από τα μυοκαρδιακά κύτταρα. Η μειωμένη πρόσληψη του ραδιοφαρμάκου από τα μυοκαρδιακά κύτταρα κατά τη διάρκεια του stress συγκριτικά με τη φάση ηρεμίας είναι ενδεικτική αναστρέψιμης μυοκαρδιακής ισχαιμίας και άρα πιθανών σημαντικών στενώσεων των στεφανιαίων αγγείων.
Δυναμική μαγνητική τομογραφία καρδιάς με stress (stress cardiac MRI): Πρόκειται για μη επεμβατική λειτουργική δοκιμασία κατά την οποία ο ασθενής εξετάζεται πριν και μετά την χορήγηση παράγοντα πρόκλησης υπεραιμίας όπως η αδενοσίνη, το regadenoson ή διπυριδαμόλη ή/και φαρμακευτικού παράγοντα πρόκλησης stress (δοβουταμίνη).
Στη συγκεκριμένη εξέταση αξιολογείται η πρόσληψη ειδικού παράγοντα αντίθεσης (γαδολίνιο) από τα μυοκαρδιακά κύτταρα κατά τη χορήγηση αδενοσίνης, και διαταραχές στην κινητικότητα των διαφόρων τμημάτων του καρδιακού μυός κατά τη χορήγηση δοβουταμίνης, συγκριτικά με τη φάση ηρεμίας και τυχόν παθολογικά ευρήματα είναι ενδεικτικά αναστρέψιμης μυοκαρδιακής ισχαιμίας και άρα πιθανών σημαντικών στενώσεων των στεφανιαίων αγγείων. Η δυναμική μαγνητική τομογραφία καρδιάς θεωρείται πολύ πιο ακριβής διαγνωστική μέθοδος συγκριτικά με τις υπόλοιπες μη επεμβατικές λειτουργικές δοκιμασίες.
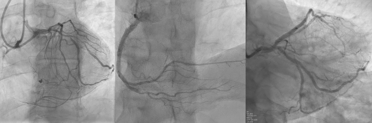
Διαγνωστική στεφανιογραφία: Πρόκειται για ελάχιστα επεμβατική πράξη, κατά την οποία μετά από παρακέντηση είτε της κερκιδικής αρτηρίας (χέρι) είτε της μηριαίας αρτηρίας (πόδι), ειδικά διαμορφωμένος λεπτός καθετήρας εισέρχεται στο στόμιο των στεφανιαίων αρτηριών διαμέσου του οποίου πραγματοποιείται εκλεκτική έγχυση σκιαγραφικής ουσίας εντός του αυλού των στεφανιαίων αγγείων.
Η ακτινοσκοπική-αγγειογραφική απεικόνιση του αυλού των αγγείων μέσο της σκιαγραφικής ουσίας επιτρέπει την απεικόνιση του αυλού των αγγείων με μαύρο χρώμα επιτρέποντας έτσι την ανάδειξη ενδοαυλικών στενώσεων ή πλήρους απόφραξης των στεφανιαίων αρτηριών. Με τη στεφανιογραφία δύναται να χρησιμοποιηθούν και άλλες επεμβατικές διαγνωστικές μέθοδοι, όπως η κλασματική εφεδρεία ροής (Fractional Flow Reserve – FFR) και τεχνικές ενδοαγγειακής απεικόνισης (ενδοαγγειακό υπερηχογράφημα, οπτική συνεκτική τομογραφία), οι οποίες επιτρέπουν την διάγνωση σημαντικών στενώσεων με σχεδόν απόλυτη ακρίβεια.
Επιπλέον, μετά την στεφανιογραφία υπάρχει η δυνατότητα ad hoc παρέμβασης και θεραπείας των στενώσεων με την διενέργεια της αγγειοπλαστικής και της τοποθέτησης ενδοστεφανιαίων προθέσεων (stents)
Πως αντιμετωπίζεται η στεφανιαία νόσος;
Η αντιμετώπιση της στεφανιαίας νόσου εξαρτάται από τη σοβαρότητα της νόσου και περιλαμβάνει την φαρμακευτική και την επεμβατική αντιμετώπιση με τη διενέργεια της διαδερμικής αγγειοπλαστικής ή τη διενέργεια χειρουργικής επαναγγείωσης (χειρουργική επέμβαση αορτοστεφανιαίας παράκαμψης):
Φαρμακευτική θεραπεία: Οι ασθενείς με στεφανιαία νόσο χρειάζονται ειδική φαρμακευτική αγωγή με φάρμακα ειδικά για τη διαχείριση των συμπτωμάτων στηθάγχης και τη μείωση του κινδύνου πρόκλησης οξέος εμφράγματος. Αυτά περιλαμβάνουν:
- Αντιαιμοπεταλιακά φάρμακα (π.χ., ασπιρίνη, κλοπιδογρέλη, τικαγκρελόρη, πρασουγρέλη) για την πρόληψη δημιουργίας θρόμβων.
- Στατίνες και αναστολείς PCSK-9 υποδοχέων, αντιλιπιδαιμικά φάρμακα για τη μείωση της χοληστερόλης.
- Αντιυπερτασικά για τη ρύθμιση της αρτηριακής πίεσης.
- Νιτρώδη για την ανακούφιση της στηθάγχης.
- Β-αναστολείς για την ανακούφιση της στηθάγχης.
- Αναστολείς διαύλων ασβεστίου για την ανακούφιση της στηθάγχης.
Διαδερμική Αγγειοπλαστική (PCI) και Τοποθέτηση Stent: Επεμβατική πράξη όπου εισάγεται ένας καθετήρας με μπαλόνι στην στενωμένη αρτηρία. Το μπαλόνι φουσκώνει για να ανοίξει-διατείνει την αρτηρία στην περιοχή της στένωσης και στη συνέχεια τοποθετείται ένα stent για να κρατήσει την αρτηρία ανοιχτή. Τα τελευταία χρόνια με τη βελτίωση της τεχνολογίας υπάρχει η δυνατότητα διαδερμικής αγγειοπλαστικής με την τοποθέτηση βιοαπορροφήσιμων stents (ικριώματα), τα οποία απορροφούνται μετά από χρονικό διάστημα 12 μηνών με αποτέλεσμα το αγγείο να ανακτά τη φυσιολογική δομή του και τις ιδιότητές του ή με τη χρήση μπαλονιών επικαλυμμένων με φάρμακο χωρίς την ανάγκη τοποθέτησης μόνιμου υλικού όπως το stent.
Αορτοστεφανιαία παράκαμψη (CABG): Χειρουργική επέμβαση όπου χρησιμοποιούνται μοσχεύματα από άλλες αρτηρίες (έσω μαστική αρτηρία ή κερκιδική αρτηρία) ή φλέβες για να δημιουργηθεί ένας νέος δρόμος όπου παρακάμπτεται το στενωμένο ή πλήρως αποφραγμένο τμήμα του αγγείου, επιτρέποντας στο αίμα να φτάσει στον καρδιακό μυ.
Στεφανιαία Νόσος και Άσκηση
Η άσκηση αποτελεί βασικό συστατικό για τη διαχείριση και την πρόληψη της στεφανιαίας νόσου. Παρόλο που μπορεί να φαίνεται αντιφατικό να συστήνεται άσκηση σε άτομα με καρδιακά προβλήματα, η σωστά σχεδιασμένη και επιβλεπόμενη άσκηση μπορεί να προσφέρει πολλαπλά οφέλη.
Η αερόβια άσκηση βοηθά στη βελτίωση της καρδιακής λειτουργίας και αυξάνει την σωματική αντοχή. Επιπλέον, μπορεί να βοηθήσει στη μείωση της υψηλής αρτηριακής πίεσης, μειώνοντας το καρδιακό έργο κατά την ηρεμία. Συμβάλλει επίσης στη μείωση των επιπέδων της κακής χοληστερόλης (LDL) και στην αύξηση των επιπέδων της καλής χοληστερόλης (HDL).
Η τακτική άσκηση βοηθά στη ρύθμιση των επιπέδων γλυκόζης στο αίμα, κάτι ιδιαίτερα σημαντικό για άτομα με σακχαρώδη διαβήτη. Επιπλέον, βοηθά στη διατήρηση ενός υγιούς σωματικού βάρους, μειώνοντας το ρίσκο περαιτέρω καρδιακών προβλημάτων. Τέλος, η φυσική δραστηριότητα έχει αποδειχθεί ότι μειώνει τα επίπεδα άγχους και βελτιώνει τη διάθεση.

